Immunotherapy Nusantara by Terawan: Aktifkan Kembali Kekuatan Alami Sistem Imun Anda

Tubuh manusia memiliki dua jenis sel darah utama: sel darah merah dan sel darah putih. Sel darah putih berperan sebagai garis pertahanan pertama, melindungi tubuh dari serangan virus, bakteri, hingga sel tumor. Mereka juga memproduksi antibodi yang membantu melawan peradangan.
Melalui Immunotherapy Nusantara, dr. Terawan memperkenalkan pendekatan baru untuk mengaktifkan kembali daya tahan tubuh secara alami. Immunotherapy ini bersifat personalized (diambil dari sel dendritik pasien itu sendiri).
Terapi ini bertujuan meningkatkan kekebalan tubuh dan “mendidik” sistem imun agar bekerja lebih cerdas dalam menghadapi berbagai penyakit—dari kanker, infeksi, autoimun, hingga penyakit degeneratif.
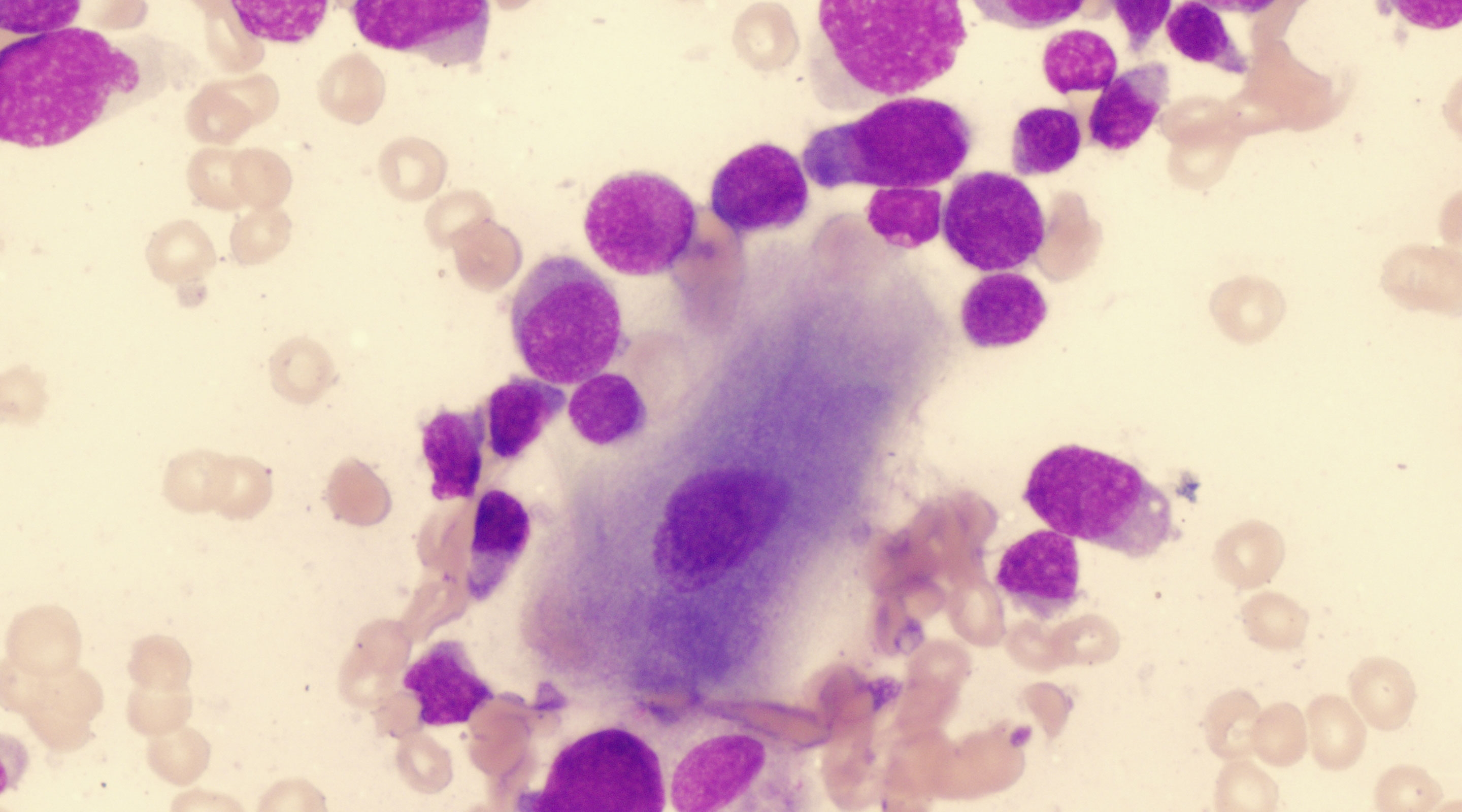
Proses immunotherapy melibatkan sel darah putih khusus bernama monosit. Sel ini diambil dari darah pasien, lalu dikembangbiakkan di laboratorium.
Dengan menggunakan media khusus, monosit akan berubah menjadi sel dendritik. Sel inilah yang disuntikkan kembali ke tubuh pasien.
Sel dendritik berfungsi merangsang dan meregulasi kerja sistem imun. Karena bersifat autologous (diambil dari tubuh pasien), terapi ini sangat aman bagi pasien.
Manfaat immunotherapy antara lain:
- Meningkatkan kekebalan tubuh terhadap berbagai penyakit.
- Membantu mengurangi respons imun berlebihan, seperti pada kondisi autoimun.
- Membentuk kekebalan jangka panjang.
Bukti penelitian tentang sel dendritik

Sel dendritik autolog—yaitu sel yang berasal dari tubuh pasien sendiri—telah diteliti secara luas dan terbukti aman digunakan sebagai bagian dari berbagai terapi.
Berbagai studi menunjukkan potensi dan keamanannya dalam beberapa kondisi kesehatan, termasuk vaksin COVID-19, terapi Hepatitis B, infeksi HSV (herpes), infeksi HIV, glioblastoma (kanker otak), kanker ginjal, kanker pankreas, diabetes tipe 1, rematik, dan multiple sclerosis.
Penelitian-penelitian ini menunjukkan bahwa sel dendritik mampu merangsang respons imun yang lebih terarah, sekaligus tetap aman karena berasal dari sel tubuh pasien sendiri.
Prosedur immunotherapy

Immunotherapy berbasis sel dendritik dilakukan dalam dua kali kunjungan:
1. Kunjungan pertama: pengambilan sampel darah
Pasien akan diambil darahnya sebanyak ± 40 cc. Sampel ini kemudian diproses di laboratorium selama kurang lebih tujuh hari.
Pada tahap ini, sel darah putih dipisahkan dari sel darah merah. Monosit—sel darah putih khusus—kemudian dikultur dan dikembangkan menggunakan media khusus hingga berubah menjadi sel dendritik.
2. Kunjungan kedua: penyuntikan immunotherapy
Pada hari ketujuh, sel dendritik yang telah matang akan disiapkan dan dicairkan dengan cairan infus sebelum diberikan kepada pasien.
Immunotherapy disuntikkan secara subkutan (di bawah kulit) sebanyak ± 1 cc.
Penting untuk diperhatikan: Jadwal penyuntikan tidak dapat dijadwalkan ulang karena sel hanya bertahan dalam kondisi optimal pada waktu tertentu.
Alur mendapatkan immunotherapy
1. Pesan jadwal kunjungan ke Klinik GWS Medika dengan menghubungi nomor Customer Care: 0881 1677 889. Petugas akan menjadwalkan kunjungan Anda untuk pengambilan sampel darah.
2. Datang ke klinik GWS Medika untuk pengambilan sampel darah (±40 cc).
3. Datang kembali ke Klinik GWS Medika pada hari ke-7 untuk penyuntikan immunotherapy.
Setelah penyuntikan, setiap pasien immunotherapy akan mendapatkan plasma autologous GRATIS!
Plasma ini kaya akan growth factor (faktor pertumbuhan) yang bermanfaat untuk menghaluskan kulit dan membantu pertumbuhan rambut.
Cara pemakaian plasma autologous:
- Hanya untuk pemakaian luar. Dioleskan pada kulit atau rambut.
- Hanya digunakan oleh pasien dan tidak boleh diberikan kepada orang lain.
Potensi risiko
Prosedur ini tergolong aman karena menggunakan sel milik pasien sendiri. Namun, beberapa efek samping ringan dapat terjadi:
- Setelah pengambilan darah: nyeri, bengkak, kemerahan, atau kebiruan di area suntikan. Keluhan ini biasanya hilang dengan sendirinya.
- Pada kasus yang jarang: pasien mungkin mengalami demam atau reaksi alergi ringan setelah penyuntikan.
Pertanyaan yang sering diajukan (FAQ)
1. Pada usia berapa terapi ini dapat diberikan?
Imunoterapi dapat mulai diberikan pada anak usia 6 tahun ke atas. Hingga saat ini, tidak ada batasan usia maksimum untuk menjalani terapi. Namun, terapi tidak dianjurkan untuk ibu hamil.
2. Apakah terapi ini perlu diulang?
Frekuensi pengulangan tergantung kondisi kesehatan masing-masing pasien.
Untuk menjaga performa imun tetap optimal, terapi dapat diulang setiap tiga bulan atau setahun sekali.
Pada pasien dengan kondisi tertentu, seperti autoimun atau kanker, dokter biasanya menyarankan terapi ulang sebulan sekali selama tiga bulan berturut-turut.
3. Apakah terapi ini aman untuk pasien diabetes atau penyakit kronis lainnya?
Ya. Terapi ini dapat diberikan kepada penderita penyakit kronis, termasuk diabetes, dengan tujuan membantu mengurangi peradangan dan mendukung kerja sistem imun.
***
Ingin mengetahui apakah Anda kandidat yang tepat untuk terapi ini? Konsultasikan kondisi Anda dengan dokter kami ya!



