Rahasia Senyum Cerah: Ketahui Semua tentang Pemutihan Gigi

Senyum adalah salah satu aspek terpenting dari penampilan Anda, yang sering kali meninggalkan kesan mendalam dan meningkatkan rasa percaya diri. Namun, seiring waktu, gigi dapat berubah warna karena berbagai faktor, seperti kebiasaan makan, gaya hidup, dan penuaan alami.
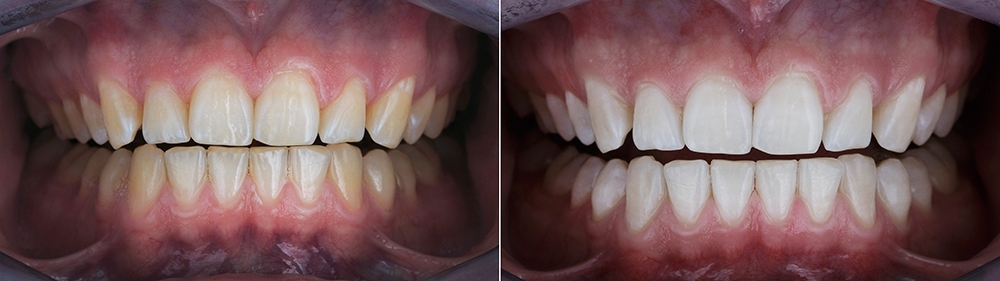
Apa itu pemutihan gigi di klinik?
Pemutihan gigi di klinik adalah prosedur pemutihan gigi yang dilakukan oleh dokter gigi menggunakan bahan pemutih berkonsentrasi tinggi, seperti hidrogen peroksida atau karbamid peroksida.
Bahan ini bekerja dengan memecah molekul penyebab noda menjadi molekul yang lebih kecil dan tidak berwarna. Reaksi kimia ini menembus lapisan enamel dan dentin gigi, secara efektif menghilangkan noda pada permukaan maupun noda yang lebih dalam.
Berbeda dengan produk pemutih yang dijual bebas, perawatan ini dilakukan di bawah pengawasan dokter gigi untuk memastikan keamanan dan presisi.
Proses ini melibatkan aplikasi gel pemutih ke gigi, yang dipadukan dengan aktivasi cahaya untuk mempercepat proses. Teknologi ini memaksimalkan hasil dan membuat senyum terlihat lebih cerah.
Mengapa gigi bisa berubah warna?
Perubahan warna gigi dapat disebabkan oleh faktor ekstrinsik (permukaan) dan intrinsik (dalam).
Noda ekstrinsik
Noda ini memengaruhi permukaan gigi. Penyebabnya adalah faktor eksternal, seperti
- makanan dan minuman: Makanan dan minuman berwarna gelap, seperti kopi, teh, anggur merah, dan buah beri.
- konsumsi tembakau: Merokok atau mengunyah tembakau dapat meninggalkan noda tar dan nikotin pada permukaan gigi.
- kebersihan gigi yang buruk: Kurangnya menyikat dan membersihkan gigi dapat menyebabkan penumpukan plak yang memerangkap noda.
Noda intrinsik
Noda ini lebih dalam dan tertanam di struktur gigi. Penyebabnya antara lain:
- Penuaan: Seiring bertambahnya usia, enamel menipis sehingga dentin yang lebih gelap di bawahnya terlihat.
- Obat-obatan: Beberapa obat, seperti tetrasiklin, dapat menyebabkan perubahan warna jika dikonsumsi selama perkembangan gigi.
- Fluorosis: Dalam jumlah sedikit, fluoride membantu memperkuat enamel gigi, tetapi paparan fluoride berlebihan selama masa kanak-kanak dapat menyebabkan perubahan warna yang terlihat. Kondisi ini disebut sebagai fluorosis.
- Trauma: Cedera pada gigi dapat menyebabkan perdarahan internal yang berujung pada perubahan warna.
Noda intrinsik seringkali membutuhkan perawatan yang lebih intensif dibandingkan noda ekstrinsik karena memerlukan beberapa prosedur untuk mencapai hasil yang optimal.
Apakah prosedur pemutihan gigi aman?

Pemutihan gigi adalah salah satu prosedur kosmetik paling populer. Jika dilakukan di bawah pengawasan dokter gigi, prosedur ini aman dan efektif. Namun, seperti perawatan gigi lainnya, pemutihan mungkin memiliki efek samping ringan yang bersifat sementara.
Efek samping yang mungkin terjadi:
- Sensitivitas gigi. Bahan pemutih dapat membuka tubulus atau saluran-saluran kecil pada gigi. Kondisi ini menyebabkan sensitivitas terhadap panas, dingin, atau makanan manis.
Sensitivitas biasanya hilang dalam beberapa hari setelah perawatan. Dokter gigi sering menggunakan desensitizer untuk mengurangi ketidaknyamanan. - Iritasi gusi. Gel pemutih mungkin secara tidak sengaja menyentuh gusi, menyebabkan iritasi ringan. Proses profesional menggunakan pelindung khusus untuk melindungi gusi dari paparan bahan pemutih sehingga mengurasi risiko iritasi.
- Pemutihan tidak merata. Restorasi, seperti tambalan, veneer, atau mahkota (crown gigi) tidak responsif terhadap bahan pemutih, sehingga dapat menyebabkan perbedaan warna.
Dokter gigi akan mengevaluasi kondisi gigi Anda terlebih dahulu untuk memastikan hasil yang alami dan maksimal.
Mengapa pemutihan profesional lebih aman?

Di GWS Medika, kami mengutamakan keselamatan dan kenyamanan. Berikut alasan pemutihan profesional adalah pilihan terbaik:
- Perawatan yang dipersonalisasi: Setiap perawatan disesuaikan dengan kebutuhan spesifik Anda. Dokter gigi kami mengevaluasi kondisi gigi Anda dan menyesuaikan pemutihan untuk hasil yang optimal.
- Dilakukan oleh ahli yang profesional: Semua prosedur dilakukan dengan pengawasan ketat untuk meminimalkan risiko dan memaksimalkan kenyamanan.
- Hasil instan: Berbeda dengan produk pemutih gigi yang bisa dipakai di rumah, pemutihan gigi secara profesional akan memberikan hasil yang dapat terlihat hanya dalam satu kunjungan. Mencerahkan gigi Anda beberapa tingkat.
Cara mempertahankan senyum cerah Anda
Setelah sesi pemutihan, perawatan yang tepat sangat penting untuk menjaga hasilnya. Beberapa tips yang bisa Anda ikuti:
- Hindari makanan dan minuman yang menyebabkan noda: Batasi konsumsi kopi, teh, anggur merah, atau makanan berwarna gelap lainnya, terutama dalam 48 jam setelah perawatan.
- Berhenti merokok: Mengonsumsi tembakau dapat dengan cepat membalikkan efek pemutihan. Karena itu, penting untuk menghindari merokok.
- Sikat dan floss secara teratur: Kebersihan mulut yang baik membantu mencegah penumpukan plak dan noda baru. Gunakan sikat gigi berbulu lembut dan pasta gigi non-abrasif. Floss membersihkan dan mengeluarkan makanan yang tersangkut di antara gigi, sehingga mengurangi jumlah bakteri dan plak di mulut.
- Kunjungan rutin ke dokter gigi: Pembersihan profesional secara teratur akan menjaga senyum Anda tetap cerah dan sehat.
Jika Anda mencari cara yang cepat, aman, dan efektif untuk mendapatkan senyum cerah, perawatan pemutihan gigi di Klinik GWS Medika adalah solusi yang tepat.
Dengan menggunakan teknologi canggih dan tenaga dokter gigi yang profesional, kami akan memberikan hasil yang terlihat hanya dalam satu kali kunjungan.
Siap untuk punya senyum yang lebih cerah dan percaya diri? Kunjungi Klinik Utama GWS Permata Hijau dan Klinik GWS Medika Blok M untuk menjadwalkan sesi pemutihan gigi Anda! Untuk pertanyaan dan konsultasi, Anda dapat klik WhatsApp.



