The Secret to a Brighter Smile: All About In-Office Tooth Whitening

A Smile is one of the most important aspects of your appearance, often leaving a lasting impression and boosting confidence. Over time, however, teeth can become discolored due to various factors such as dietary habits, lifestyle choices, and the natural aging process. If you want a fast, safe, and effective way to rejuvenate your smile, in-office tooth whitening at GWS Medika is the perfect solution. Using advanced technology and professional expertise, we provide a whitening experience designed to give you noticeable results in just a single session.
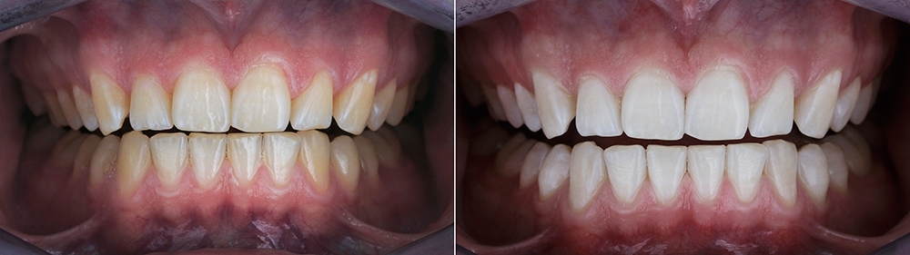
What is in-office tooth whitening?
In-office tooth whitening is a professional procedure performed by a dentist using high-concentration bleaching agents such as hydrogen peroxide or carbamide peroxide.
These agents work by breaking down stain-causing molecules (chromogens) into smaller, colorless molecules. This chemical reaction penetrates the enamel and dentin of the tooth, effectively removing both surface-level and deeper stains.
Unlike over-the-counter products, in-office whitening treatments are supervised by dental professionals to ensure safety and precision. Our process includes the application of a whitening gel to your teeth and combined with light activation to speed up the process. We accelerate the whitening process and maximize results, leaving your smile visibly brighter.
Why do teeth discolor?
Tooth discoloration can be caused by both extrinsic (surface-level) and intrinsic (deep) factors:
Extrinsic stains
These are stains that affect the surface of the teeth and can be caused by external factors, such as:
- Food and beverages: dark-colored foods and drinks like coffee, tea, red wine, and berries.
- Tobacco use: Smoking or chewing tobacco can leave tar and nicotine on the surface of teeth.
- Poor oral hygiene: Inadequate brushing and flossing can lead to plaque build-up, which can harbor stains.
Intrinsic stains
These are deeper stains that are embedded within the tooth structure, and can result from:
- Aging: As you age, enamel thins, revealing the darker dentin beneath.
- Medications: Some drugs, such as tetracycline, can cause discoloration when taken during tooth development.
- Fluorosis: Excessive fluoride exposure during childhood can result in visible discoloration.
- Trauma: Injury to a tooth can cause internal bleeding, which may lead to discoloration.
Intrinsic stains often require more intensive treatments than extrinsic stains, as they may need multiple procedures to achieve optimum results.
Is tooth whitening safe?

Tooth whitening is one of the most popular cosmetic dental procedures, and when performed under the supervision of a trained dentist, it is both safe and effective. However, like any dental treatment, it may come with minor temporary side effects. Here’s what you need to know:
Understanding potential side effects
- Tooth sensitivity. Whitening agents can temporarily expose dentin by opening microscopic tubules in the enamel, leading to sensitivity to hot, cold, or sweet stimuli. Sensitivity typically resolves within a few days after treatment. Dentists often use desensitizers to reduce discomfort.
- Gum irritation. Whitening gels may accidentally come into contact with gums, causing temporary irritation or mild inflammation. Professional application includes safeguards like protective barriers to shield gums from exposure, minimizing the risk of irritation.
- Uneven whitening. Restorations such as fillings, veneers, or crowns do not respond to whitening agents, which can result in slight color discrepancies. Dentists evaluate your dental condition beforehand and provide tailored solutions, ensuring a natural and uniform appearance.
Why professional whitening is safer

At GWS Medika, we prioritize your safety and comfort. Here’s how our approach ensures the best experience:
- Personalized treatment: Each treatment is tailored to your specific needs. Our dentists assess your dental condition and customize the whitening process for optimal results.
- Professional expertise: Treatments are carefully monitored to minimize side effects and maximize comfort
- Immediate results: Unlike at-home products, in-office whitening provides visible results in a single visit, often lightening your teeth several shades.
How to maintain your bright smile
After your whitening session, proper care is essential to maintaining your results. Here are a few tips:
- Avoid staining foods and drinks: Limit consumption of foods and beverages that can cause staining, such as coffee, tea, red wine, especially in the 48 hours following treatment.
- Quit smoking: Tobacco use can quickly reverse the effects of whitening, so avoiding smoking is crucial for maintaining your bright smile.
- Brush and floss regularly: Proper oral hygiene helps prevent the build-up of plaque and new stains. Brush twice daily with a soft-bristled toothbrush and non-abrasive toothpaste.
- Regular dental check-ups: Professional cleanings will keep your smile looking its best.
In-office tooth whitening at GWS Medika is the fastest and safest way to brighten your smile. Whether you’re looking for a quick boost before an event or just want to restore your smile to its natural brilliance, our professional whitening treatments offer the results you desire with minimal discomfort.
Ready to make a lasting impression with a brighter, more confident smile? Contact us today to schedule your in-office whitening session!



